1day Periodontal disease treatment
最短即日で完了する歯周病治療
ワンデー歯周病治療とは
ワンデー歯周病治療とは、通常複数回かかる歯周病治療が最短即日で完了する短期集中歯周病治療です(お口の状態によっては1回で終わらないこともあります)。
こんなお悩みありませんか?
- 忙しいため1回で治療を終わらせたい
- 遠方なので通うのが大変
- 精密な歯周病治療を短期集中で受けたい
- 過去の歯周病治療で治療回数が多かったために途中で行かなくなってしまった
- 早く治療を終わらせたい
- 再発させたくない
一般的な歯周病治療(保険診療)は、歯石除去や歯周ポケットの処置を複数回に分けて行うことが多く、治療期間が長くなりがちです。さらに歯周病は「サイレントディジーズ」とも呼ばれ、初期の段階では見た目の変化や痛みもありません。そのため歯周病治療はあまり重要視されず治療回数もかかるため通院が面倒となり途中でやめてしまう患者さんが大変多い印象です。そして症状が現れた時にはもう手遅れの状態で「抜歯」となってしまうのです。

なぜ歯周病治療は治療回数が多いの?

歯周病治療は、段階的にお口の環境を改善していく治療であるためどうしても治療回数が多くなりやすい特徴があります。また、保険診療では1回あたりの治療内容や時間に制限が設けられており、歯周病治療の場合も「歯石除去を数回に分けて行う」「口腔内をブロックごとに処置する」「治療工程を段階的に進める」といった形が基本となります。そのためどうしても通院回数が多くなってしまうのです。
ワンデー歯周病治療が必要とされる理由
通院回数を減らすことができる
歯周病治療は回数がかかる治療のため、途中で通院が途切れてしまうと、十分な治療効果が得られないまま中断されてしまうこともあります。
ワンデー歯周病治療は、忙しくて何度も通院できない、遠方なので通院が大変という方にとって通院回数の負担を減らし、治療を継続しやすくするための方法です。
歯周病治療の第一歩を短期間で
歯周病は、痛みが出にくく、自覚症状が少ないまま進行する病気です。「忙しいから」「まだ大丈夫だろう」と治療を後回しにしている間に、歯ぐきの炎症や歯を支える骨の破壊が進んでしまうケースも少なくありません。
ワンデー歯周病治療では、汚れや歯周ポケット内の歯石を集中的に除去することで、歯周病の進行を抑える第一歩を短期間で踏み出すことができます。

治療の中断を防ぐ

歯周病治療は、途中で中断してしまうと、十分に取り除けなかった歯石や細菌が再び増殖し、症状の再発や悪化を招き、気づいた時にはもう手遅れ、抜歯となってしまうこともあります。
ワンデー歯周病治療は、初期段階の処置を一度で集中的に行うことで、「治療の途中で終わってしまう」リスクを減らすという役割もあります。
ワンデー歯周病治療で対応できる症例
ワンデー歯周病治療は、すべての歯周病を1日で治す治療ではありません。
即日で対応できない(治療回数が増える)可能性のあるケース
重度歯周病(深い歯周ポケット・広範な骨吸収)
歯周病治療で対応できないケース
歯を支えている骨が大きく失われている場合、揺れが大きい歯
※他の歯科医院で抜歯と言われてしまった歯も残せる場合がありますので、ご相談ください。
なぜ1日で歯周病治療が行えるの?
Point 1 精密性
治療部位を20倍以上に拡大できる歯科用顕微鏡マイクロスコープを使用し、肉眼では確認できない歯周ポケット内をしっかりと”見ながら”治療を行います。



どちらのほうが精度の高い治療ができるかは一目瞭然です。
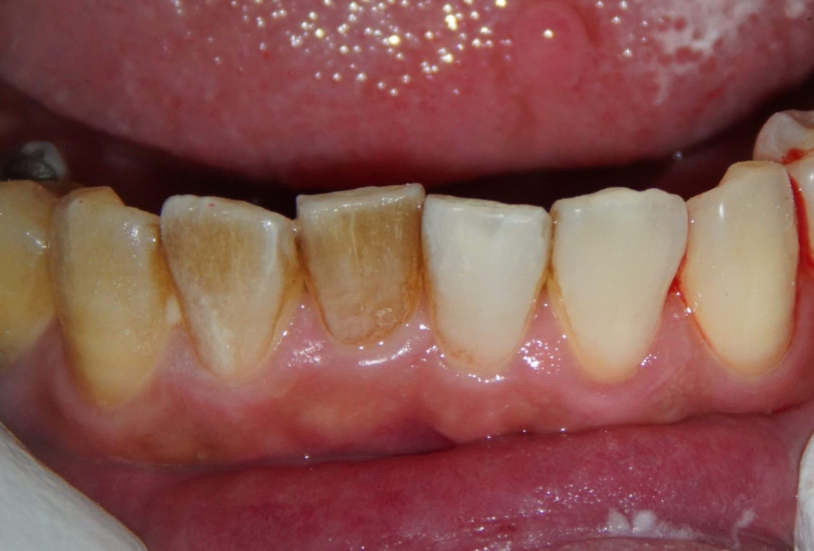
Point 2 パウダークリーニング・Er:YAGレーザー
当院ではパウダークリーニング機器、Er:YAGレーザー(エルビウムヤグレーザー)など最新機器を導入しています。
![]()
パウダークリーニングは、微細なパウダーを水とともに噴射し、歯の表面だけでなく歯周ポケット内部に付着したバイオフィルム(細菌の膜)を効率よく除去できるクリーニング方法です。従来の器具による歯石除去だけでなく、器具が届きにくい部分まで清掃できるため、短時間で高い清掃効果が期待できます。着色(ステイン)も綺麗に落ちます。
パウダークリーニングの効果


Er:YAGレーザーは、歯周ポケット内の細菌除去、炎症組織の蒸散、歯石の除去補助などに用いられるレーザーで、治療部位の周辺組織への侵襲が極めて低いことや、殺菌効果、治癒を促進する効果があるため、患者さんの負担を減らしながら効率的に歯周病治療ができるのが特徴です。
Point 3 治療時間の確保
90分〜180分のマンツーマンの診療で1日で歯周病治療が終わります。
Point 4 歯科医師の高い技術と豊富な臨床経験

当院の理事長は、マイクロスコープや歯周病治療について執筆や講演を多数行っています。また、切らない最先端の重度歯周病治療マイクロリトラクション法のレクチャーをするMicroPex Hygienic Laboratoryの講師を務めており、他院で抜歯と言われてしまった歯でも可能な限り保存することを目指しています。










