「痛くないのに削るの?」見えないところの歯のトラブルを放置するリスクと治療法
木更津市の歯医者、陽光台ファミリー歯科クリニックです🍀
「鏡で見ても何ともないし、痛みも全くない。それなのに、歯科検診で『虫歯があるから治療しましょう』と言われて戸惑った……」

このような経験をお持ちの方は、実は非常に多くいらっしゃいます。患者様からすれば「騙されているのではないか」「削って報酬を得ようとしているのではないか」と不安になるお気持ちもよく分かります。しかし、歯科医師が「見えない場所の治療」を勧めるのには理由があります。
お口の中の病気、特に虫歯や歯周病は、自覚症状が出た時にはすでに「重症化」しているケースがほとんどです。痛みは体からの最終警告であり、その警告が鳴る頃には、歯の寿命を左右する深刻な事態に陥っていることが少なくありません。

本記事では、なぜ鏡や肉眼では確認できない場所にトラブルが隠れているのか、そしてそれを放置することがどれほどのリスクを伴うのかを詳しく解説します。この記事を読み終える頃には、歯科医師がなぜ「見えない部分」にこだわり、早期治療を勧めるのか、その真意をご理解いただけるはずです。
なぜ見えない?歯科医師がチェックしている「隠れた病変」の正体
歯科医師が診察時に最も注視しているのは、実は「目に見える白い歯の表面」ではありません。本当に怖い病変は、以下の3つの「死角」に隠れています。
① 歯と歯の隙間(隣接面カリエス)
最も多い「隠れ虫歯」のスポットです。歯の噛み合わせ面(溝)は自分で確認できますが、隣り合う歯が接触している部分は、正面から見ても、上から見ても確認できません。

ここは歯ブラシが当たりにくく、汚れが溜まりやすい場所です。エナメル質の内側にある「象牙質」は柔らかいため、表面には小さな穴しか開いていなくても、内部でアリの巣のように大きく広がっているのが特徴です。

② 詰め物・被せ物の下(二次カリエス)
過去に治療した場所も安心はできません。むしろ、一度削った歯は虫歯になりやすいといえます。銀歯やプラスチック(レジン)の詰め物は、年月の経過とともに接着剤が溶け出し、わずかな隙間が生じます。そこから細菌が侵入し、被せ物の下で「再発」するのです。これを二次カリエスと呼びます。金属で覆われているため、レントゲンを撮るか、詰め物を外さない限り、その進行状況を確認することは非常に困難です。

③ 歯の根っこ(根尖性歯周炎)
歯の頭の部分ではなく、歯茎に埋まっている「根っこ」の先に膿が溜まることがあります。

これは過去に神経を取った歯に多く見られるトラブルです。神経がないため痛みを感じにくく、本人が気づかないうちに顎の骨を溶かして進行していきます。疲れた時に歯茎が腫れるといった症状が出る頃には、骨の欠損が大きくなっていることが多いのです。

放置の代償:神経を失う、あるいは抜歯になるリスク
「痛くないから、痛くなってから治療すればいい」という考えは、歯科治療において最もコスト(時間・費用・精神的苦痛)を増大させる要因となります。
神経を守れるかどうかの瀬戸際
歯の構造は、表面の硬い「エナメル質」、その下の「象牙質」、そして中心にある「歯髄(神経)」の三層構造になっています。見えない場所で進行した虫歯が象牙質を突き破り、神経まで達してしまうと、激痛が走ります。この段階になると、もはや「虫歯を削って詰める」だけの治療では済みません。神経を取り除き、根の中を消毒する「根管治療」が必要になります。

「神経を取る」ことの本当の意味
「神経を取れば痛みはなくなるからいい」と思われるかもしれませんが、これは歯の寿命を劇的に縮める行為です。神経と一緒に血管も失われるため、歯に栄養が届かなくなり、枯れ木のように脆くなってしまいます。また、痛みを感じないために次の虫歯の発見がさらに遅れ、気づいた時には歯が根元からポッキリ折れてしまうこともあります。

抜歯という最終宣告
さらに放置が進むと、もはや被せ物を支えるための土台(自分の歯)が残らなくなります。こうなると、どんなに高度な技術を持ってしても「抜歯」を回避することは不可能です。歯を1本失うと、インプラントや入れ歯、ブリッジといった高額かつ負担の大きい治療が必要になり、周囲の健康な歯にも悪影響が及びます。

精密治療の最前線:マイクロスコープとCTで「見える化」する
かつての歯科治療は、歯科医師の「経験」と「勘」、そして肉眼に頼る部分が大きくありました。しかし現在では、テクノロジーの進化により、見えないものを「見える化」して治療することが可能です。
マイクロスコープ(歯科用顕微鏡)の威力
マイクロスコープを使用すると、肉眼の約3倍〜30倍に視野を拡大できます。これにより、肉眼では絶対に見えない「歯のひび割れ」「詰め物の微細な段差」「複雑な根管の形状」をハッキリと捉えることができます。

メリット1: 虫歯だけを精密に除去できるため、健康な歯を削る量を最小限に抑えられる。
メリット2: 取り残しを防げるため、再発率を劇的に下げることができる。
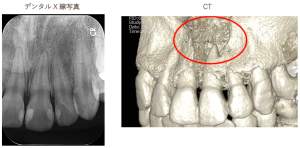
歯科用CTによる3次元診断
従来のレントゲンは「2次元(平面)」の画像でした。そのため、重なっている部分は隠れてしまい、正確な深さや形が分かりませんでした。歯科用CTは「3次元(立体)」でお口の中を撮影します。

歯の根の数や曲がり具合
神経との距離
顎の骨の厚みや膿の大きさ これらをミリ単位で把握できるため、安全で精度の高い治療計画を立てることが可能になります。
再発を防ぐために:精密な詰め物・被せ物の選び方
見えない場所を一度治療したなら、二度と同じ場所が悪くならないようにすることが「最高の節約」であり「最高の健康投資」です。ここで重要になるのが、治療後に使用する「素材」と「精度」です。
保険診療(銀歯・レジン)の限界
日本の保険制度は素晴らしく、最低限の機能を回復させるには適しています。しかし、銀歯(金銀パラジウム合金)は金属そのものが劣化しやすく、歯との接着も「合着(セメントで隙間を埋めるだけ)」に近いため、数年で隙間から細菌が入り込むリスクが高いのが現実です。

自由診療(セラミック・ゴールド)の優位性
一方、セラミックやゴールドといった素材は、素材そのものの劣化がほとんどありません。
セラミック: 歯との化学的な結合が強固で、汚れ(プラーク)が付着しにくい性質があります。見た目の美しさだけでなく、二次カリエスを防ぐという点でも非常に優れています。
ゴールド: 適度な柔らかさがあり、噛む力に合わせて歯に馴染んでいくため、最も「隙間ができにくい」素材とされています。

治療の際には、単に「白くしたいかどうか」だけでなく、「どちらが将来的に見えない場所の再発を防げるか」という視点で歯科医師に相談してみてください。
【まとめ】お口の健康を守る「真の近道」
お口の健康を守る上で、自分では「見えない場所」への意識を持つことは非常に重要です。
定期的な検診でレントゲン・CT確認を行うこと: 半年に一度はプロの目で「透視」してもらう習慣をつけましょう。
「痛くない」は健康の証明ではない: 痛みがないうちに見つかったトラブルこそ、最も楽に、最も安く治せるチャンスです。
精密な治療を選択すること: マイクロスコープ等を用いた精密治療は、未来の自分へのプレゼントになります。

一生自分自身の歯でおいしい食事を楽しみ、笑顔で過ごすために。もし「最近検診に行っていないな」と感じたら、勇気を出して歯科医院のドアを叩いてみてください。私たちは、あなたの「見えないリスク」を摘み取り、健やかな未来を守るパートナーでありたいと願っています。
初診の方はLINEまたはお電話(0438-38-4854)、再診の方はお電話でご予約をお取りください。

