乳歯の神経が死んだらどうなる?気づきにくいサインと放置の危険性
木更津市の子供の歯医者、陽光台ファミリー歯科クリニックです🍀
子どもの乳歯に、「あれ?いつもと違うな」という変化を感じたことはありませんか?
特に、歯の色が灰色や茶色に変色したり、抜ける時期ではないのにグラグラしている場合、それは歯の神経が死んでいるという、見逃せないサインかもしれません。

「どうせ抜ける歯だから…」と軽く見てはいけません。乳歯の神経が死んだ状態を放置すると、歯の根の先に膿が溜まり、その炎症が次に生えてくる永久歯の成長や、顎全体の健康に深刻な悪影響を及ぼす可能性があるのです。
本記事では、乳歯の神経が死んでしまう原因から、親御さんが見逃してはいけない危険なサイン、そして大切なお子さんの歯を守るための緊急対応と具体的な治療法について、分かりやすく解説します。お子さんの歯の異変に気づいた親御さんは、すぐにでも行動するための知識として、ぜひ最後までお読みください。
乳歯の神経が死ぬ(壊死)とは?主な原因とメカニズム
乳歯の神経が死んでしまう「歯髄壊死」は、文字通り歯の中にある神経や血管(歯髄)が細菌感染や外傷によって機能を失ってしまう状態です。

1. 神経が死ぬ主な原因
乳歯の神経が死んでしまう原因のほとんどは、以下の2つです。
① 強い衝撃(外傷):転倒やぶつかるなど、歯に強い力が加わることで、歯の根の先端にある血管や神経が切れてしまい、歯髄に栄養や酸素が届かなくなり壊死します。これが乳歯の神経が死ぬ最も一般的な原因の一つです。

② 進行した虫歯:軽度の虫歯で終わらず、治療せずに放置された結果、細菌が歯の奥深くにある神経の部屋にまで到達し、激しい炎症(歯髄炎)を経て、最終的に神経を死滅させてしまいます。
2. 壊死のメカニズム
神経が死ぬと、歯に栄養を送る血液も止まるため、歯は生命活動を停止します。この死んだ組織は細菌の温床となり、根の先端から外へと炎症を広げ、周囲の骨を溶かしながら膿の袋(根尖病巣)を形成する原因となります。

こんな症状は危険信号!神経が死んだ乳歯の代表的なサイン
乳歯の神経が死んでいても、必ずしも強い痛みを伴うわけではありません。むしろ、痛みを感じる段階を過ぎていることも多く、親御さんが気づきにくいサインとして現れることが多いです。
1. 歯の色の変化
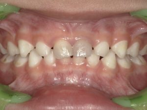
最も分かりやすいサインの一つです。神経が死んで時間が経つと、歯の内部で壊死した血液の成分が変化し、歯の色が灰色、茶色、または黒っぽい色に変色します。特に前歯で目立ちやすい症状です。

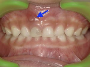
2. 歯茎の「おでき」や「できもの」
歯の根の先に溜まった膿が、歯茎を破って出てくることがあります。これはフィステルやサイナストラクトと呼ばれるもので、ニキビのような白いできものが歯茎にでき、膿が出たり引っ込んだりします。痛みがないことが多いため、見過ごされがちです。

3. 歯のグラつき(動揺)
本来抜ける時期ではないのに、歯がグラグラと動揺している場合、根の周りの骨が炎症によって溶かされ始めている可能性があります。
4. 痛みの有無
外傷直後や、虫歯で神経に炎症が起きている初期には激しい痛みを伴いますが、神経が完全に壊死してしまうと、痛みを感じなくなることがあります。痛みが引いたからといって「治った」わけではないことに注意が必要です。
放置はNG!乳歯の神経壊死が永久歯に与える深刻な影響
「どうせ抜けるから」と乳歯の神経壊死を放置すると、次に生えてくる永久歯の健康に一生涯影響を及ぼす可能性があります。
1. 永久歯の「変色」と「形成不全」
乳歯の根の先と、その下で育っている永久歯の芽(歯胚)は非常に近い位置にあります。乳歯の根の炎症や膿が歯胚に影響を与えると、その永久歯に形の異常などの問題が生じることがあります。
2. 歯並び(不正咬合)への影響
炎症により乳歯が早期に抜けてしまうと、そのスペースを埋めようと隣の歯が倒れ込んできます。その結果、本来生えるべき場所が狭くなり、永久歯が正しい位置に生えられず、歯並びを悪くする原因となります。

3. 全身への影響
稀ではありますが、炎症が強く広がると、顔全体が腫れたり、発熱したりと、全身の健康状態にも悪影響を及ぼす可能性があります。
歯科医院での治療法と親御さんが自宅でできること
乳歯の神経が死んでいることが疑われたら、できるだけ早く歯科医院を受診することが、永久歯を守るための最優先事項です。
1. 歯科医院での治療法
神経が死んだ乳歯の治療は、主に以下の2つです。
① 根管治療(歯の根の治療):乳歯の根の内部から、死んだ神経や血管、細菌を丁寧に取り除き、内部を消毒してから詰め物をします。これにより、炎症の拡大を防ぎ、乳歯が永久歯の生え変わりまで役割を果たせるように保存します。
② 抜歯:炎症が非常に重度で、根の周りの骨の破壊が進んでいる場合や、永久歯への悪影響が避けられないと判断された場合は、炎症の根源を取り除くために抜歯を行います。抜歯後は、歯並びへの影響を防ぐために保隙装置(スペースを維持する装置)が必要になることがあります。

2. 親御さんが自宅でできること
「変色」「できもの」を発見したらすぐに受診:上記で解説したサインを見つけたら、痛みがあってもなくても、決して自己判断せず、すぐに小児歯科またはかかりつけの歯科医院へ連絡しましょう。
打撲時は冷やす:歯をぶつけた直後は、頬の外側から冷たいタオルなどで冷やし、炎症と腫れを最小限に抑えます。
毎日の丁寧な仕上げ磨き:虫歯による神経壊死を防ぐため、日々のフッ化物入りの歯磨き粉を使った丁寧な仕上げ磨きを徹底しましょう。

まとめ:乳歯の異常は「永久歯への警告」と捉え、早めの受診を
本記事では、「乳歯の神経が死んだ」状態について、その原因、危険なサイン、そして放置した場合の深刻なリスクについて解説しました。
乳歯はいずれ抜けますが、永久歯が健やかに生えてくるための「道案内」という非常に重要な役割を担っています。お子さんの歯に少しでも異変を感じたら、「どうせ抜けるから」と自己判断せずに、すぐに歯科医院を受診してください。早期に発見し、適切な治療を行うことが、お子さんの大切な歯を守ることにつながります。
お子さんの歯やお口のお悩みは、子供専用の診療室がある陽光台ファミリー歯科クリニックへ一度ご相談ください!
初診の方はLINEまたはお電話(0438-38-4854)、再診の方はお電話でご予約をお取りください。
▼小児専用診療室🐠

