20代男性のホワイトニング症例|仕事もプライベートも「清潔感」で差をつける!
木更津市で男性のホワイトニングなら陽光台ファミリー歯科クリニックへ🍀
最近、当院でも20代の男性患者様が急増しています。その理由の多くは「清潔感を手に入れたい」というもの🫧
特に営業職や接客業の方はもちろん、就職活動や大切なイベントを控えた方にとって、口元の印象は第一印象を左右する大きなポイントです!

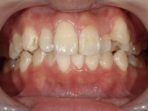
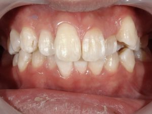
今回は、初めてのホワイトニングに挑戦された20代男性の症例をご紹介します。
「興味はあるけれど、歯科医院に行くのは少しハードルが高い」「女性ばかりの空間だったらどうしよう」と迷っている方も多いのではないでしょうか?実は、当院を訪れる20代男性の多くが、最初は同じような不安を抱えていらっしゃいます。「男性が歯医者でホワイトニングなんて…」とためらっている方にこそ、ぜひ見ていただきたい変化です!


治療回数:1回
治療時間:約60分
ホワイトニングによるリスク
・白さを保つためには定期的なホワイトニングが必要
・知覚過敏、歯肉の灼熱感、粘膜の潰瘍、歯の痛み等が生じることがまれにある
・白くなりにくい歯がある
「忙しくてなかなか時間が取れない」という方もご安心ください。当院のホワイトニングでは、休日の隙間時間を利用してスピーディーに印象をアップさせることが可能です!
髪型を整えるように、歯のメンテナンスを日常のルーティンに取り入れてみませんか?LINEから24時間いつでも簡単に予約が可能です。
わずか1時間のケアで、数ヶ月先の自信を手に入れましょう。少しでも気になった今が、自分をアップデートする最高のタイミングです!
初診の方はLINEまたはお電話(0438-38-4854)、再診の方はお電話でご予約をお取りください。

