房総に春を告げる水仙のように。新年の笑顔を輝かせる「ホワイトニング」のご提案
こんにちは。木更津・君津の歯医者、陽光台ファミリー歯科クリニック理事長の渡辺です。
新年あけましておめでとうございます。本年もどうぞよろしくお願い申し上げます。
さて、当院のある房総半島では、1月の誕生花であり、冬の寒さの中で凛として咲く「水仙(スイセン)」が見ごろを迎えています。その清らかな白い花びらは、見る人の心を洗うような美しさがありますよね。

実は、当院のあるこの地域は水仙と非常に深い縁があります。 兵庫県の淡路島、福井県の越前海岸と並び、南房総の鋸南町(当院の隣の隣の町)は「日本三大水仙の里」の一つに数えられています。
特に富津市と鋸南町の境にある鋸山(のこぎりやま)の南側で栽培された「元名水仙(もとなすいせん)」は、江戸時代からお正月の飾り花として船で江戸まで出荷されていました。また、鋸山の日本寺境内には、水仙を抱えた「水仙観音」が建立されており、古くからこの地で白く清らかな花が愛されてきたことが分かります。
現在は、鋸南町保田エリアの「江月の水仙ロード」や、大崩エリアの「をくずれ水仙郷(佐久間ダム湖親水公園)」など、毎年多くの方がその可憐な姿をひと目見ようと訪れます。
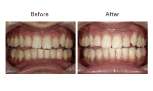
今回は、そんな水仙の「白」にちなんで、新年にふさわしいホワイトニングについてお話しします。
- 水仙の白さに学ぶ「清潔感」と「自己愛」
水仙の学名は「ナルキッソス」。ギリシャ神話に登場する美少年の名に由来し、花言葉には「自己愛」や「神秘」、そして白い水仙には「尊敬」という意味が込められています。
うつむき加減に咲く姿は控えめですが、混じりけのない「白」は、周囲をパッと明るくする圧倒的な存在感を持っています。
私たちのお口元も同じです。 整った白い歯は、自分自身を大切にケアしているという「自己愛」の証。そして、初対面の方に「清潔感」と「信頼」を感じさせる、何よりのコミュニケーションツールになります。

- 新年のスタートに「オフィスホワイトニング」が最適な理由
「心機一転、自分を磨きたい」という気持ちが高まる1月。セルフケアでは到達できない輝きを手に入れるなら、歯科医院で行うオフィスホワイトニングがおすすめです。
- 即効性: 1回の施術で色の変化を実感しやすいため、新年会や大切な行事に間に合います。
- プロの技術: 高濃度の薬剤を歯科医師・歯科衛生士が扱うため、ムラなく安全に白さを引き出します。
- モチベーションUP: 歯が白くなると自然と笑顔が増え、1年のスタートがポジティブなものに変わります。

- 「水仙のような気品」をその笑顔に
冬の澄んだ空気の中で輝く水仙のように、あなたの笑顔もパッと明るくアップデートしませんか?

「ホワイトニングに興味はあるけれど、どこまで白くなるの?」「痛みはないの?」といった不安がある方も、ぜひお気軽にご相談ください。当院では、お一人おひとりの歯質に合わせた最適なプランをご提案いたします。
新しい1年、水仙の花びらのような真っ白な歯で、最高に輝く笑顔を。 皆様のご来院を、スタッフ一同心よりお待ちしております。
【新春ホワイトニングキャンペーン実施中】
今なら期間限定で、オフィスホワイトニングの特別プランをご案内しております。詳細は受付、またはお電話にてお問い合わせください。
医師紹介

理事長 渡辺 泰平(歯学博士)
資格
PERF-JAPAN講師(根管治療)
MicroPex Hygienic Laboratory講師(歯周病治療)
Karl Kaps Germany 認定講師(マイクロスコープ)
日本・アジア口腔保健支援機構 第二種感染管理者検定講師
日本顎咬合学会 認定医
認定医日本健康医療学会 認定医
日本・アジア口腔保健支援機構 第一種感染管理者
健康医療コーディネーター
